
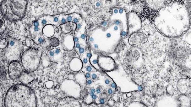
El gobierno de República Dominicana, dio a conocer que se ha diagnosticado el primer caso de coronavirus, y que se trata de una persona de nacionalidad italiana de 62 años, el cual ya se encuentra en aislamiento.
De acuerdo el reporte clínico, se trata de una persona de sexo masculino, que ingresó el pasado 22 de febrero, y que presentó dos días después, síntomas como fiebre, tos y malestar general. La persona se encontraba en un hotel de la región este, en la zona de las playas Unta Cana y Bávaro.
El Ministerio de Salud Pública, ha aconsejado a la población evitar reacciones exageradas y de pánico, señalando que más del 80 por ciento de los casos de la enfermedad de coronavirus son similares a procesos gripales leves.
El gobierno dominicano ha establecido medidas de prevención, por lo que las aerolíneas deberán reportar a la dirección de epidemiología nacional posibles casos de gripe.
Short Link: https://is.gd/FUMWXR
Comentarios